[¿Hongos en Marte? Evidencia de crecimiento y comportamiento A partir de imágenes secuenciales es una traducción del artículo Fungi on Mars? Evidence of Growth and Behavior From Sequential Images publicado en Advances in Microbiology, vol 11, # 5. May 2021 el original puede ser consultado aquí].
11 autores, incluyendo:

Rhawn Gabriel Joseph
Cosmology.com
88 PUBLICACIONES 1,873 CITAS
Ver Perfil

Xinli Wei
Institute of Microbiology Chinese Academy of Sciences
64 PUBLICACIONES 322 CITAS
Ver Perfil

Ashraf M. T. Elewa
Minia University
83 PUBLICACIONES 628 CITAS
Ver Perfil
Olivier Planchon
French National Centre for Scientific Research
341 PUBLICACIONES 733 CITAS
Ver Perfil
Algunos de los autores de esta publicación también están trabajando en estos proyectos relacionados:
- Vida en Marte Ver proyecto
- Logros basados en palinología para las sucesiones de yacimientos en el golfo de Suez, Egipto Ver proyecto
¿Hongos en Marte? Evidencia de crecimiento y comportamiento a partir de imágenes secuenciales
R.G.Joseph.*1, Richard Armstrong2, Xinli Wei3, Carl Gibson4, Olivier Planchon5, David Duvall1,6, Ashraf M. T. Elewa7, N. S. Duxbury8, H. Rabb9, Khalid Latif10, Rudolph Schild*1,11
- Cosmology.com
- Facultad de Ciencias de la Vida y la Salud, Universidad de Aston, Birmingham, Reino Unido.
- Laboratorio Estatal Clave de Micología, Instituto de Microbiología, Academia de Ciencias de China. Beijing. china
- Centro Scripps de Astrofísica y Ciencias Espaciales, Departamento de Ingeniería Aeroespacial, Universidad de California, San Diego, CA
- Centro Nacional de Investigaciones Científicas, Biogeociencias, Universidad de Borgoña, Francia
- Departamento de Zoología, Universidad Estatal de Oklahoma, Emérito, OK
- Departamento de Geología, Facultad de Ciencias, Universidad de Minia, Egipto
- Departamento de Física y Astronomía, Universidad George Mason, VA
- Grupo de Investigación en Astrobiología, Finlandia
- Centro Nacional de Excelencia en Geología, Universidad de Peshawar, Khyber Pakhtunkhwa, Pakistán
- Centro de Astrofísica, Harvard-Smithsonian, Cambridge, MA
Extracto
Los hongos prosperan en ambientes de radiación intensa. Fotos secuenciales documentan que especímenes marcianos similares a hongos emergen del suelo y aumentan de tamaño, incluidos los que se asemejan a hongos polvera (Basidiomycota). Después de la destrucción de los especímenes esféricos por las ruedas del rover, aparecieron nuevos esféricos, algunos con tallos, sobre las crestas de las viejas huellas. Las secuencias documentan que miles de “araneiformes” árticos negros crecen hasta los 300 metros en primavera y desaparecen en invierno; un patrón que se repite cada primavera y que puede representar colonias masivas de hongos negros, moho, líquenes, algas, metanógenos y especies reductoras de azufre. Especímenes negros similares a hongos y bacterias también aparecieron encima de los rovers. En una serie de fotografías durante tres días (Sols), los especímenes amorfos blancos dentro de una grieta cambiaron de forma y ubicación y luego desaparecieron. Los zarcillos protoplásmicos blancos similares al micelio con apéndices similares a cuerpos fructíferos forman redes sobre y por encima de la superficie; o aumento de masa documentado por fotografías secuenciales. Cientos de formaciones de "hongo" con forma de rosquilla con hoyuelos de aproximadamente 1 mm de tamaño están adyacentes o unidas a estos complejos de tipo micelio. Secuencias adicionales documentan que las masas amorfas blancas debajo de los refugios rocosos aumentan en masa, número o desaparecen y que especímenes parecidos a hongos blancos similares aparecieron dentro de un compartimento abierto del rover. El análisis estadístico comparativo de una muestra de 9 especímenes esféricos que se cree que son "puffballs" de hongos fotografiados en Sol 1145 y 12 especímenes que emergieron de debajo del suelo en Sol 1148 confirmó que los nueve se acercaron significativamente a medida que sus diámetros se expandieron y algunos mostraron evidencia de movimiento. . El análisis de conglomerados y una prueba 't' de muestras pareadas indican un aumento de tamaño estadísticamente significativo en la proporción de tamaño promedio en todas las comparaciones entre y dentro de los grupos (P = 0.011). Las comparaciones estadísticas indican que los "araneiformes" árticos aumentaron significativamente en longitud en paralelo después de un crecimiento inicial acelerado. Aunque las similitudes en la morfología no son prueba de vida, el crecimiento, el movimiento y los cambios de forma y ubicación constituyen comportamiento y respaldan la hipótesis de que hay vida en Marte.
Palabras clave: hongos, mohos, bejines, géiseres, volcanes de lodo, hongos marcianos, araneiforms, Marte, vida,
Sin conflictos de intereses/Declaración ética: todos los autores contribuyeron e informan que no tienen conflictos de intereses. *Autores para correspondencia: RhawnJoseph@gmail.com, rschild@cfa.harvard.edu
1. Introducción
A lo largo de su misión en Meridini planum, Marte, el rover Opportunity fotografió especímenes esféricos de color blanco tiza sobre la superficie (Figuras 7-16). Aunque no pudo examinar directamente estos especímenes esféricos, e incluso identificó erróneamente una roca oblonga plana como una esfera (Bell et al. 2004), el equipo del Opportunity publicó una serie de artículos afirmando que eran hematitas (Christensen et al. 2004; Klingelhöfer et al. 2004). ; Soderblom et al. 2004; Squires et al. 2004). Burt, Kaught y colegas (Burt et al. 2005; Knauth et al. 2005) cuestionaron y descartaron de inmediato la interpretación de hematitas debido a las "muchas contradicciones" y señalaron que "a diferencia de todas las concreciones terrestres conocidas... son uniformemente esféricos... uniformes en su distribución de tamaño...” y concluyendo que: “La frecuente analogía con los esferoides hematíticos es inapropiada” (ver también Knauth et al. 2005). Dos miembros del equipo del Opportunity también admitieron más tarde que gran parte de los los datos "no se ajustaban bien" a la hematita (Glotch y Banfield 2006), mientras que Bell et al (2004) reconocieron que los datos "no eran coherentes" con la hematita sólida sino con la jarosita, y las firmas espectrales obtenidas indicaban "hierro férrico cristalino". La explicación de la hematita esférica también fue rechazada en 2006 por Joseph, quien en su lugar acuñó el término "hongos marcianos” mientras señalaba que estos especímenes esféricos se asemejan a líquenes y hongos. En 2008 y 2014, Joseph especuló nuevamente que estas concreciones esféricas pueden haber sido producidas secundariamente a actividad biológica. Otros científicos también han adoptado una explicación biológica para estos esferoides (Dass, 2017; Kazmierczak 2020; Rabb 2015, 2018; Small 2015). En un estudio, docenas de expertos en hongos y líquenes identificaron estas esferas como "puffballs" (hongos polvera) — un hongo esférico blanco perteneciente al filo Basidiomycota (Dass, 2017; Joseph 2016).Además, el rover Opportunity, en una secuencia de tres días, fotografió 9 especímenes esféricos que aumentaron de tamaño y otros 12 que emergieron debajo del suelo (Sols 1145 y 1148). La posibilidad de que el viento haya descubierto estos especímenes ha sido analizada, disertada y descartada (Joseph et al 2020a,b). Muchos de estos especímenes esféricos de nivel del suelo también tienen tallos o han perdido partes de sus membranas externas, posiblemente costrosas y están rodeados de trozos blancos y material esponjoso similar a una espora que puede consistir en leprosa (Figuras 9, 11, 15, 16). Además, el rover Curiosity ha fotografiado especímenes blancos amorfos parecidos a hongos en el cráter Gale dentro de los refugios rocosos. Como lo ejemplifican las imágenes secuenciales, estos especímenes amorfos aumentan de tamaño o, por el contrario, cambian de forma, se trasladan a nuevas ubicaciones y/o disminuyen de tamaño y casi desaparecen (Figuras 7, 17-21). En la misma vecindad y en los mismos días, también se han fotografiado especímenes en forma de rosquilla con hoyuelos de mm de tamaño que se asemejan a hongos y líquenes del género Ochrolechia, algunos de los cuales están unidos a redes de zarcillos protoplásmicos similares a micelio blanco que serpiente a lo largo o por encima de la superficie (Figuras 22-27). Algunos de estos zarcillos también aumentan de masa, como se documenta en fotografías posteriores (Figura 22). Sin embargo, se desconoce si estos "zarcillos" están vivos, calcificados, fosilizados o completamente abiogénicos. “Araneiformes” negros masivos (Figuras 1-6, 45-51), hipotéticamente formados por enormes colonias de moho, hongos, algas, líquenes y bacterias (Ganti et al. 2003; Joseph et al. 2020c; Kereszturi et al. 2012; Ness, 2001) también han sido fotografiados desde la órbita, apareciendo en primavera, aumentando de tamaño, alcanzando a veces una anchura y una longitud de varios cientos de metros para menguar y desaparecer con la llegada del otoño y el invierno; luego el patrón se repite la primavera siguiente (Hansen et al. 2010; Kieffer et al. 2006; Lovett 2000; Portyankina et al. 2020; Prieto-Ballesteros, et al. 2006). Además, las secuencias de fotos muestran el “crecimiento” de lo que parece ser moho, bacterias y hongos en los rovers Curiosity y Opportunity (Figuras 36-39). Por lo tanto, en las regiones ecuatoriales y árticas, los especímenes y las formaciones emergen, se multiplican, aumentan y disminuyen de tamaño y se mueven o expanden a nuevas ubicaciones; acciones propias de los organismos vivos.

Figura 1. Fotos orbitales de Marte. En el sentido de las agujas del reloj desde arriba: Principios de la primavera. Mediados de primavera. Finales de la primavera. Comienzo del verano. mediados de verano. Otoño.

Figura 2. Aumentando de gris en (a) Invierno a negro durante (b,c) Primavera y disminuyendo y desapareciendo en (d) Otoño/Invierno. Fotografiado vía satélite, desde la órbita (reproducido de Ganti et al. 2003).

Figura 3. Cambiando de gris en el invierno (a) a negro durante la primavera y principios del verano (b-d). Fotografiado vía satélite, desde la órbita (reproducido de Ganti et al. 2003).

Figura 4. Fotos orbitales del HiRISE de Marte. (Superior izquierda) Día 1. (Inferior) Día 34. Los especímenes lineales viajan hacia arriba y sobre el terreno con los del centro creciendo uno hacia el otro. La longitud final de los especímenes lineales oscuros es de 130 metros, con una tasa de crecimiento estimada de 5 a 10 metros por día.

Figura 5. Fotos orbitales del HiRISE de Marte. (Superior izquierda) Día 1. (Central) Día 22. (Derecha) Día 34. Especímenes con manchas y lineales emergen de manchas oscuras en la parte superior de esta duna marciana. Los especímenes lineales parecen crecer hacia afuera y hacia abajo. La longitud final de los especímenes lineales oscuros se estima en 60 metros, con una tasa de crecimiento estimada de 5 a 10 metros por día.

Figura 6. Fotos orbitales de Mars HiRISE (colores falsos desaturados). Izquierda, Día 1. Derecha Día 34. La longitud final de los especímenes en forma de abanico es de 90 metros, con una tasa de crecimiento estimada de 5 a 10 metros por día.

Figura 7. Sol 1143 documenta un área de suelo desprovista de estructuras esféricas (encerrada en un círculo rojo). Siete días después han aparecido en esa misma zona al menos 18 ejemplares esféricos.

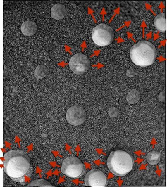
Figura 8. Sol 1145 vs Sol 1148. Nueve especímenes esféricos y semiesféricos yacían sobre la arena de grano grueso de Meridiani Planum. Tres días después, aparecen 12 esferas y semiesferas adicionales y las 9 originales tienen aumentos de tamaño y diámetro. Los especímenes tienen un tamaño aproximado de 3-8 mm. Fotografiado por el rover Opportunity.

Figura 9. Sol 147. Fotografiado por Opportunity. Especímenes marcianos de aproximadamente 3-8 mm de tamaño que se asemejan a Puffballs u hongos polvera (Basidiomycota), algunos con tallos o material blanco similar a esporas (leprosa).

Figura 10. (Izquierda) "Puffball" terrestre. (Centro) Diagrama de “tallo”. (Derecha) Sol 257: espécimen marciano.

Figura 11. Sol 257 fotografiado por Opportunity. Especímenes marcianos de aproximadamente 3-8 mm de tamaño que se asemejan a Puffballs (Basidiomycota), algunos con tallos o desprendimiento de material blanco similar a esporas (leprosa) y copa inferior, y velo universal que cubre hongos embrionarios (crustosos).

Figura 12. (Izquierda) Puffball terrestre que desprende costras. (Derecha) Sol 257: ¿despojarse del velo universal que cubre a los bejines (crustosos)?

Figura 13. (Izquierda) Puffball terrestre. (Derecha) Sol 147. especímenes parecidos a bejines.

Figura 14. (Izquierda) Puffball terrestre que han crecido juntos. (Derecha) Sol 182 especímenes esféricos de Marte que han "crecido" juntos. Obsérvese el tejido fibroso membranoso dentro de los callos que se interconectan.

Figura 15. Sol 182 fotografiado por NASA Rover Opportunity. La mayoría de los expertos identificaron estos especímenes como "hongos" y "bolas de lobo" (Joseph 2016). Observe lo que parece ser un material blanco con forma de esporas en forma de polvo (leprosa) que cubre la superficie (consulte la Figura 16 para ver un aumento del 200 % del material blanco que se encuentra sobre la superficie). Las muestras esféricas tienen un tamaño aproximado de 3-8 mm.

Figura 16. Sol 182. Un aumento del 200 % de un polvo blanco-grueso-esporas-como material similar a la leprosa que cubre la superficie como se ve en la Figura 15. Nótense numerosas formas (¿embrionarias?) de hongos tubulares abiertos y tallos.
2. ¿Leprose, crustosa, esporas fúngicas y cuerpos fructíferos?
La lepra del hongo polvera comienza como costra, la piel exterior (velo universal) que finalmente comienza a romperse, cae a la superficie circundante y se desintegra (Petersen 2013; Roberts & Evans 2011). Los bejines generalmente no tienen branquias o poros que produzcan esporas. En cambio, producen esporas blancas y esponjosas a partir de células especializadas llamadas basidios (Petersen 2013; Roberts & Evans 2011). Estas esporas blancas, junto con la leprosa, ensuciarán la superficie que, en combinación, puede ser polvorienta, áspera, escabrosa y granular (es decir, "leprosa"). La hematita no tiene piel exterior y no produce esporas, costras ni leprosa.
Como se documenta en este informe, estos especímenes esféricos marcianos a menudo están rodeados de sustancias blancas ásperas, escabrosas, granulares, escamosas y esponjosas. Además, un examen de la Figura 16 revela, con un aumento del 200%, la presencia de numerosas formas de hongos tubulares abiertos y con tallo enredados dentro del material escabroso esponjoso blanco.
Los hongos polvera también pueden tener troncos (tallos), que se convierten en rizoides similares a raíces y micelios subterráneos que absorben nutrientes. Los micelios fúngicos también crecen en estructuras esféricas y en forma de hongo reproductores visibles, por encima del suelo, que contienen esporas, llamados cuerpos fructíferos (Petersen 2013; Roberts & Evans 2011), momento en el cual pueden volverse rígidos y aparentemente calcificados. Las Figuras 22-27 representan lo que puede ser micelio así como pequeños cuerpos fructíferos bulbosos. Por el contrario, estas pueden ser formaciones inusuales de yeso, calcio o cuarzo.
3. ¿Crecimiento, disminución, cambio de forma, movimiento y hongos marcianos con hoyuelos?
El rápido aumento y disminución parece ser una característica común de los especímenes de aspecto biológico fotografiados en Marte. Por ejemplo, como se informa aquí: en Sol 173, el rover Curiosity fotografió numerosos especímenes amorfos de color blanco adheridos dentro de un refugio rocoso marciano (Figura 18). Varios de estos especímenes tienen una apariencia en forma de cuenco. Trece días después, como se fotografió el día de Marte Sol 17 (Figura 19), los especímenes se han multiplicado y aumentado de tamaño. Otro espécimen amorfo blanco representado en Sol 173, desapareció casi por completo cuando se fotografió 19 días (sol) más tarde en Sol 192 (Figuras 20-21).
Una masa amorfa blanca, con apéndices, aparece en un abrigo rocoso en el Sol 528. Sin embargo, cambia de forma y una parte se traslada a una nueva ubicación, como se fotografió al día siguiente (Sol 529). Cuando se fotografía en Sol 530, esta masa amorfa ha desaparecido casi por completo de su ubicación original. Una pequeña porción del resto parece haberse movido a una nueva ubicación en la pared interna opuesta de la grieta (Figura 17). Se desconoce por completo si se trata de un hongo, un moho mucilaginoso o un hongo mucilaginoso. Sin embargo, el cambio de forma amorfa, las alteraciones en la masa y el movimiento de un lugar a otro son típicos de los mohos mucilaginosos e indican el comportamiento y la vida.
Una comparación de Sol 192 y Sol 270 muestra un aumento en la masa de redes de hebras blancas que se asemejan al plasmodium, esporangios fructíferos bulbosos y grupos interconectados, cuando se fotografían meses después (Figura 22). Las fotografías de características superficiales adicionales en esta área en Sol 270 revelan la presencia de especímenes en forma de rosquilla con hoyuelos que se asemejan al género de líquenes Ochrolechia, o posiblemente a Russula y hongos "milkcap", p. Lactarius quietus; Lactarius torminosus; Lactarius deliciosus (según lo descrito por Petersen 2013; Roberts & Evans 2011). Estas características parecidas a hongos rodean estas redes de lo que parecen ser rígidos, incrustados y aparentemente calcificados, plasmodios y esporangios (Figuras 22-27). Algunos de estos especímenes en forma de rosquilla también parecen volverse blancos y están vinculados a estas redes enredadas de hebras blancas, algunas de las cuales se elevan sobre el suelo, proyectando sombras y están conectadas a lo que parecen cuerpos fructíferos (Figura 23). Para especular, tal vez estas "venas" blancas enredadas representen hifas fúngicas o plasmodio fosilizado y esporangios: ¿redes de cuerpos fructíferos?

Figura 17. Sols 528, 529, 530. (Cráter Gale) La masa amorfa blanca cambia de forma, ubicación y desaparece casi por completo del interior de la grieta de un refugio rocoso durante un período de tres días (sol). La masa central tiene aproximadamente 6 mm de diámetro en Sol 528 y aparece un zarcillo delgado de color blanco que se extiende hacia abajo y otro hacia arriba a lo largo del borde de la grieta. En 529, el zarcillo inferior ha desaparecido y hay dos zarcillos que serpentean hacia arriba. En 530 la masa blanca y los zarcillos casi han desaparecido.

Figura 18. Sol 173 (Cráter Gale). Comparación de especímenes blancos (cada uno de aproximadamente 3-6 mm de tamaño) con Sol 186.

Figura 19. Sol 186 (Cráter Gale). Los especímenes blancos aumentan en masa y número en comparación con Sol 173 (Figura 18).

Figura 20. Sol 173. (Cráter Gale) Masas amorfas blancas de 3 a 5 mm de tamaño, adheridas a la cara inferior del labio del abrigo rocoso. Diecinueve días después, la masa amorfa ha desaparecido (ver Figura 19, abajo).

Figura 21. Sol 192. (Cráter Gale) La masa amorfa blanca ha desaparecido de la parte inferior del borde del refugio rocoso (compárese con la Figura 20, Sol 173).

Figura 22. Sol 192 vs Sol 270. Aumento de masa de redes blancas amorfas después de 78 días (soles). Tenga en cuenta las vías de agua y los especímenes en forma de rosquilla con hoyuelos en los paneles superiores. Tenga en cuenta la vía del agua.
4. ¿Minerales, hongos, esporangios de plasmodio protoplásmico fosilizado?
En las Figuras 22-27 se pueden distinguir redes interconectadas incrustadas de hebras blancas puntuadas con grumos blancos y a menudo, rodeadas por formaciones de hongos con forma de rosquilla con hoyuelos. Se desconoce si los especímenes blancos son abiogénicos y consisten en yeso, calcio o cuarzo, o si son micelio fúngico calcificado o plasmodio incrustado y zarcillos protoplásmicos puntuados con cuerpos fructíferos bulbosos fosilizados (esporangios). Por el contrario, no existen análogos abiogénicos para los numerosos especímenes con forma de rosquilla con hoyuelos que, en cambio, se asemejan al género de líquenes Ochrolechia, y los "hongos milkcap" terrestres (por ejemplo, Lactarius quietus; Lactarius torminosus; Lactarius deliciosus), las Russulas en forma de "rosquilla" (Petersen 2013; Roberts & Evans 2011) y menos líquenes con hoyuelos que han sido previamente identificados tentativamente en el cráter Gale (Joseph et al. 2020c,d). También hay evidencia de vías de agua (Figuras 22, 24, 25) que proporcionarían humedad a los organismos vivos.
Los hongos terrestres con hoyuelos comúnmente secretan una sustancia lechosa que puede tener la consistencia del látex (Petersen 2013; Roberts & Evans 2011). ¿Podría esto explicar la apariencia solidificada de estas hebras, o por qué parte del material blanco incrustado está enredado con formaciones bulbosas con hoyuelos? Uno solo puede especular.
Es posible que estas muestras contengan minerales u otras sustancias no biológicas. Por ejemplo, el yeso y el cuarzo pueden ser abundantes en el cráter Gale (Nachon et al. 2014; McLennan et al. 2013; Rapin et al. 2016). Sin embargo, si estas redes enredadas de hebras consisten en cuarzo o yeso, esto no descarta la biología. Por ejemplo, las algas (cianobacterias) a menudo se encuentran asociadas con el yeso, que es un sustrato favorito para las algas/cianobacterias extremófilas (Bothe, 2019). El alga verde Closterium (y sus parientes), también acumula yeso y lo almacena en forma de cristales (sulfatos de Sr y/o Ba) en vacuolas ubicadas en los ápices de sus células fusiformes (He et al. 2014).
Alternativamente, las “venas” de color blanco pueden consistir en cuarzo y sulfatos de calcio hidratados que se identificaron en el cráter Gale donde se fotografiaron estos especímenes (Nachon et al. 2014; McLennan et al. 2013). El cuarzo está asociado con la actividad biológica, se ha identificado el cuarzo, dominado por líquenes (Jung, et al. 2019). Además, las cianobacterias, las algas verdes y los microhongos colonizarán las estructuras internas de la pequeña grava de cuarzo (Jung, et al. 2019). Otra posibilidad es el carbonato de calcio, subproducto de la actividad de las cianobacterias. El carbonato de calcio se precipita en la mucosa de las algas (cianobacterias) a través de la absorción fotosintética de CO2 o HCO3 (Devaud y Girardclos, 2001).
Estas “venas” blancas puntuadas con grumos blancos, fueron fotografiadas en asociación con formaciones que tienen una depresión central o núcleos que les dan una característica de “forma de rosquilla” de hongos setas y el género de líquenes Ochrolechia. Dado que las hebras de estas “venas” blancas están por encima del suelo, a veces, se elevan sobre la superficie y proyectan una sombra debajo de ellas (Figura 23), entonces la explicación más probable es que estas redes tienen un origen biológico, se han vuelto incrustadas y rígidas o foto-blanqueadas debido a las condiciones de la superficie y la exposición a la radiación. Nuevamente, solo se puede especular.

Figura 23. Hebras que serpentean y algunas veces se elevan sobre la superficie. Si son biológicos, estos especímenes pueden consistir en micelio fúngico calcificado o plasmodio incrustado y zarcillos protoplásmicos puntuados con cuerpos fructíferos bulbosos fosilizados (esporangios). O pueden ser formaciones abiogénicas muy inusuales.

Figura 24. Especímenes en forma de rosquilla Sol 270, de aproximadamente 1-2 mm de tamaño, que se asemejan al género Lichen Ochrolechia, y posiblemente "hongos milkcap" y Russulas. Los especímenes blancos se asemejan al plasmodium, los esporangios bulbosos de fructificación y grupos interconectados de material biológico que pueden se han vuelto rígidos, incrustados y aparentemente calcificados. O estos hilos de redes pueden ser muy inusuales. formaciones abiogénicas que consisten en cuarzo, calcio o yeso. Tenga en cuenta la vía del agua.

Figura 25. Especímenes en forma de rosquilla de Sol 270, de aproximadamente 1-2 mm de tamaño, adyacentes a redes que se asemejan a plasmodios y esporangios de fructificación bulbosos. Si son biológicos, estos grupos interconectados de material pueden haberse vuelto rígidos, incrustados, calcificados o fosilizados. O estas hebras de red pueden ser formaciones abiogénicas muy inusuales que consisten en cuarzo, calcio o yeso. Tenga en cuenta la vía del agua.

Figura 26. Sol 270 Especímenes en forma de rosquilla --de aproximadamente 1-2 mm de tamaño-- que se asemejan al género de líquenes Ochrolechia y a los “hongos milkcap” (p.ej., Lactarius quietus; Lactarius torminosus; Lactarius deliciosus) y a las Russulas en forma de “rosquilla”. Los especímenes blancos se asemejan a plasmodium, esporangios fructíferos bulbosos y grupos de material interconectados, todos los cuales pueden haberse vuelto rígidos, incrustados, calcificados cuando se exponen a las condiciones de la superficie. O estas hebras de red pueden ser formaciones abiogénicas muy inusuales que consisten en cuarzo, calcio o yeso.

Figura 27. Especímenes en forma de rosquilla Sol 270, de aproximadamente 1 mm de tamaño, que se asemejan al género de líquenes Ochrolechia y a los "hongos lechones" terrestres (p.ej., Lactarius quietus; Lactarius torminosus; Lactarius deliciosus) y algunas especies de Russula.
5. Pareidolia y la negación de diversas evidencias de vida marciana
Casi tres docenas de científicos con un historial de importantes logros científicos revisados por pares han encontrado evidencia indicativa de biología marciana (Baucon et al. 2020; DiGregorio 2018; Bianciardi et al. 2014; Dass, 2017; Joseph et al. 2019, 2020a,b, c,d,e,f; Kaźmierczak 2016, 2020; Levin & Straat, 1977, 1977, 2016; Levin et al. 1978; McKay et al. 2009; Noffke 2015; Rizzo 2020; Rizzo & Cantasano 2009, 2016; Ruffi & Farmer, 2016; Small 2015; Thomas - Keprta et al. 2009). Diversos especímenes biológicos putativos que se asemejan a líquenes, hongos, algas y aberturas cónicas abiertas para la ventilación del oxígeno producido a través de la fotosíntesis también se han fotografiado muy cerca unos de otros (Joseph et al. 2020a,b).
Sin embargo, estos y otros informes de especímenes biológicos han sido ignorados por la NASA y descartados como "ilusiones" o una forma de pareidolia (Geller 2014; Plait 2012; ver discusiones de Levin & Straat, 2018; Rizzo & Cantansano, 2016; Rowan, 2016 ). En cambio, estos especímenes realistas se atribuyen por completo a los minerales y a la actividad geológica abiogénica, incluidos el viento, la intemperie, los volcanes de lodo, los géiseres y la sublimación del hielo y el derretimiento del dióxido de carbono (Dundas et al. 2015; Hansen et al. 2010; Kieffer et al. 2006). ; Pilorget 2011; Portyankina et al. 2020; Soderblomet et al. 2004; Squires et al. 2004).
Por el contrario, se ha argumentado que aquellos que promueven explicaciones abióticas también sufren de “pareidolia” (Joseph 2014b; ver también Rizzo & Cantansano, 2016) una consecuencia del grupo e institucional presión de los compañeros para imponer la conformidad del pensamiento (Asch, 1955, 1956; Joseph 2014b; Levin & Straat, 2018; Rowan, 2016): como mejor se ilustra en la parábola del “Traje Nuevo del Emperador”. como se demuestra Experimentalmente, la presión de los compañeros y la necesidad de conformarse son tan poderosas que los afectados son incapaces de ver con precisión lo que está justo delante de sus ojos (Asch, 1951, 1952, 1955, 1956).
6. Hematites y especulaciones basadas en imágenes: la NASA y los geólogos planetarios confían en las fotos.
Una queja común es que quienes abogan a favor de la biología emiten sus juicios basándose en el análisis de imágenes. Hay algo de verdad en esta crítica. Sin embargo, Rizzo (2020) ha comentado extensamente el hecho de que los geólogos planetarios de la NASA y otros comúnmente basan sus interpretaciones de las características marcianas en imágenes, no en datos reales. Caso en cuestión: basado simplemente en fotografías orbitales, la NASA (2016) argumenta que los "araneiformes" masivos que aparecen cada primavera y disminuyen cada otoño e invierno muy probablemente "resultan de la descongelación del hielo estacional de dióxido de carbono", mejor conocido como "hielo seco", aunque el hielo de dióxido de carbono es un blanco semitranslúcido, no negro y no hay análogos de la Tierra para respaldar lo que no es más que especulación. Los únicos análogos "araneiformes" de la Tierra son biológicos; y sin embargo, esta posibilidad es completamente ignorada excepto por unos pocos científicos (Ganti et al. 2003; Joseph et al. 2020c; Kereszturi et al. 2012; Ness 2001).
La afirmación repetida de que las esferas marcianas son concreciones de hematites es otro ejemplo de especulación, ha sido criticada por Burt y otros (Burt et al. 2005; Knauth et al; 2005; Joseph et al. 2020a,b). La hematita no es de color gris o blanco (a menos que esté sumergida en una masa de agua estancada) y no crece fuera del suelo ni se expande en tamaño en solo tres a siete días (Figuras 6-8, 31-33). La hematita tampoco crece hacia el cielo, en colonias enormes, adherida a las rocas por tallos rematados por casquetes bulbosos en forma de hongo (Joseph et al 2019, 2020a,b). Estos últimos especímenes marcianos se asemejan mucho a colonias de líquenes fotosintéticos (ver Figura 28-30); cuya existencia explicaría los aumentos estacionales del oxígeno atmosférico marciano (Joseph et al. 2020a,b). La hematita tampoco es azul, púrpura o verde (Figuras 30-32, 35) o se rompe fácilmente y se hunde por dentro (Figuras 31-32, 34). Sin embargo, la NASA y muchos científicos planetarios aceptan la hipótesis de la hematita y rechazan las explicaciones biológicas.
Una revisión cuidadosa de la metodología y la instrumentación informada por el equipo del Opportunity revela que los especímenes en forma de hongo con tallo y las esferas sobre el suelo nunca fueron analizados de forma individual o selectiva por el conjunto de instrumentos de muestreo de Opportunity para la hematita. En cambio, las muestras individuales, que se suponía que contenían hematites, consistían en rocas oblongas (ver Figura 6 en Belle et al. 2004). Las afirmaciones sobre la hematita también se basaron en imágenes panorámicas y afirmaciones sobre el promedio de "temperaturas" altas y bajas (Klingelhöfer et al. 2004) y las firmas espectrales de colores falsos (Soderblom et al. 2004), con espectros eliminados selectivamente hasta que restante se interpretó como similar a la firma espectral de la hematita fotografiada en un laboratorio (Christensen et al. 2004), cuando los resultados fueron un "mal ajuste" para la hematita y hubo problemas significativos con la calibración (Glotch y Banfield, 2006).
Las cámaras y los instrumentos del Opportunity no son capaces de tomar fotos en colores reales. Aunque se desconoce el verdadero color del paisaje, los afloramientos, la arena, el polvo, la tierra y las rocas, los filtros nanométricos de la cámara panorámica del Opportunity generaron imágenes compuestas en falso color (Soderblom et al. 2004). Con base en estos "compuestos de color", se pintaron cantidades masivas de azules y verdes sólidos en todo el paisaje inferior y si los colores fueran verdaderos, estos azules y verdes no serían indicativos de hematita, sino de charcos de agua y vastos campos de vida que contiene organismoa con clorofila (Joseph et al. 2020b). La hematita no es verde ni azul. De hecho, las firmas espectrales indicativas de clorofila han sido detectadas por Pancam y Mars Science Laboratory (MSL) a bordo del rover Curiosity. Stromberg y sus colegas (2014) informaron que las características "asociadas con la clorofila se pueden distinguir" y que la "característica espectral de la clorofila es observable en los espectros Pancam y Mastcam" obtenidos por el MSL del rover Curiosity en el cráter Gale (ver también Stromberg et al. 2019 ). La hematita no es verde y no contiene clorofila. Además, basándose en colores falsos, se consideró que las esférulas del cráter Eagle son amarillas, naranjas y moradas (Soderblom et al. 2004); colores no asociados con hematites, sino con organismos vivos. La hematita terrestre tampoco tiene una capa exterior que se desprende o una forma de hongo y tallo y crece hacia arriba y hacia afuera desde la parte superior de las rocas o el suelo (Figuras 7-8, 28-31).

Figura 28. Sol 85 fotografiado por el rover Opportunity. Ejemplo de grandes colonias de formaciones parecidas a líquenes con tallos adheridos a las rocas y que sobresalen hacia arriba y están rematados por casquetes bulbosos.

Figura 29. Sol 85 fotografiado por el rover Opportunity. Ejemplo de grandes colonias de formaciones parecidas a líquenes con tallos adheridos a las rocas y que sobresalen hacia arriba y están rematados por casquetes bulbosos.

Figura 30. Opportunity, colores falsos por JPL/NASA. (Superior izquierda) Sol 88. Ejemplo de vastas colonias de miles de especímenes con forma de liquen-hongo, adheridos a rocas con tallos delgados rematados con casquetes bulbosos, similares a organismos fotosintéticos (ver Figuras Joseph et al. 2020a). (Superior derecha) Sol 37 Ejemplos de especímenes con forma de liquen de hongo bulboso de tallo largo (Abajo) Sol 183. Vastos campos de innumerables especímenes esféricos fotografiados en Meridian Planum.
7. Crecimiento y rebrote después del aplastamiento por las llantas del Rover: hematita refutada
La hematita es característicamente más dura que el hierro, sin embargo, frágil y puede identificarse por la presencia de una raya rojiza. Cuando se golpea repetidamente con martillos y otras herramientas, las piezas pueden quebrarse y romperse en grandes trozos irregulares. Solo se puede reducir a un polvo rojo mediante una molienda extensa.
Aunque la hematita puede generarse en los volcanes, cuando se produce en fuentes termales, se forma en parte a través de la actividad biológica durante cientos de miles de años (revisado por Joseph et al. 2019). La hematita no puede recombinarse espontáneamente, reformarse, volver a crecer, emerger del suelo y aumentar de tamaño en solo tres o siete días, ni participar en otros comportamientos. Estas son las provincias y los sellos distintivos de la biología.
Como se documenta en las Figuras 31-32, vastos campos de especímenes esféricos fueron aplastados, borrados, desaparecidos y/o convertidos en grandes manchas por las ruedas y bandas de rodadura del rover Opportunity. Sin embargo, en menos de 650 días (soles) reaparecen innumerables especímenes esféricos sobre las crestas de las viejas huellas de los neumáticos; muchos tienen forma de hongo con tallos. Estas esferas, incluidas las que emergieron del suelo en 3 días (Figura 8) y 7 días (Figura 7), en todos los aspectos, tienen las características, morfología y patrones de crecimiento característicos de los organismos vivos. Por el contrario, las afirmaciones de que estas esferas son hematites se basan en especulaciones, inferencias, colores falsos, el promedio de temperaturas, ajustes de calibración ad hoc y la eliminación selectiva de señales espectrales generalizadas de imágenes panorámicas que incluían arena, tierra, polvo, rocas oblongas. y afloramientos (Bell et al. 2004; Christensen et al. 2004; Klingelhöfer et al. 2004; Rieder et al. 2004; Squires et al. 2004). Los instrumentos del equipo del Opportunity ni siquiera fueron específicos de minerales. La evidencia favorece a la biología, no a la mineralogía.

Figura 31. (Izquierda) Oportunidad, Sol 1232. Aplastamiento, obliteración de esféricos. (Derecha) Sol 1319: Nota aparecen esferas en las crestas de las huellas de los neumáticos viejos, lo que indica que no fueron volados ni golpeados en su lugar.

Figura 32. En Sol 952, las ruedas del rover borraron casi todas las esferas. Por el contrario, numerosos especímenes esféricos, muchos con tallos y formas de hongos, se han convertido en las viejas huellas de neumáticos formadas en Sol 336. Estas "nuevas" esferas están ubicadas predominantemente en la parte superior de las crestas (ver también la Figura 31).

Figura 33. Fotografiado en Sol 952, segmento de la Figura 32. Crecimiento de especímenes esféricos y con forma de hongo con tallo que aparecieron 616 días (sol) después de que las ruedas del rover Opportunity borraran toda evidencia de estas esferas en Sol 336.

Figura 34. Las esferas sobre la superficie son frágiles, se rompen fácilmente y se filtrarán y se desprenderán de sus interiores cuando se rompan.

Figura 35. Fotografiado por el rover Opportunity. Vastos campos de especímenes esféricos, muchos con tallos sobre la superficie. El color "verdoso" puede indicar clorofila.
Un resumen de la evidencia que favorece la vida marciana
La cuestión de si hay o hubo vida en Marte es extremadamente controvertida. Incluso aquellos que están a favor de la biología aún no han afirmado haber encontrado una prueba definitiva. Es cierto que las similitudes en la morfología no son prueba de vida, incluso cuando la evidencia incluye una amplia gama de especímenes que parecen biológicos, incluidos: estromatolitos fosilizados putativos, esteras microbianas, gusanos tubulares, metazoos y algas calcáreas (Baucon et al 2020; Bianciardi et al 2014; Joseph et al. 2020a,d-g; Kazmierczak 2016, 2020; Noffke 2015; Rabb, 2018; Rizzo et al. 2020; Ruff & Farmer 2016; Small 2015). Luego está el residuo biológico descubierto en meteoritos marcianos (Thomas-Keprta, et al. 2009; McKay et al. 2009); y lo que parecen ser organismos vivos, como algas, hongos y líquenes (Dass 2017, Joseph 2014a 2016; Joseph et al. 2019, Joseph et al 2020a,b; Krupa 2017; Levin et al. 1978; Levin & Straat 2016; Rabb 2015, 2018, Pequeño 2015); actividad biológica detectada en muestras de suelo marciano (Levin & Straat 1976, 1977; 2016); los 9 especímenes esféricos que aumentaron de tamaño, los 12 que emergieron de debajo del suelo en apenas tres días (Sols 1145 y 1148) y siete días (Sol 1143 y 1150); y esferas y formas de hongos con tallo que emergen en viejas huellas de los neumáticos formadas por el rover Opportunity.
Los araneiformes negros masivos emergen en la primavera, crecen rápidamente y luego disminuyen rápidamente en el otoño y el invierno para volver a emerger en la primavera siguiente. Esta evidencia puede representar el crecimiento de colonias masivas de hongos negros, líquenes, algas, metanógenos y organismos reductores de azufre (Ganti et al. 2003; Ness, 2001; Joseph et al. 2020c; Kereszturi et al. 2012). En apoyo de esta hipótesis hay imágenes secuenciales (Figuras 36, 37) de lo que puede ser un crecimiento bacteriano fúngico negro en los rovers; pero que también pueden ser contaminantes vivos transferidos desde la Tierra (Joseph et al. 2019s, 2020a).

Figura 36. Mars Sol 2718 (superior izquierda) frente a Sol 2813 (derecha e inferior): crecimiento de especímenes que se asemejan a bacterias y hongos en el rover Opportunity, después de 95 días (marcianos) en Marte:

Figura 37. Sol 51 (izquierda) vs Sol 1089 (derecha). Una parte de la cubierta Chem Cam del Rover Curiosity fotografiada en Sol 51 y 1038 días marcianos después (Sol 1089). Posible evidencia del crecimiento de hongos y bacterias. Como se detalló anteriormente, estos especímenes pueden representar el florecimiento de contaminantes vivos que se adhirieron a este equipo y sobrevivieron a la transferencia de la Tierra a Marte (Joseph et al. 2019).

Figura 38. Superior (Sol 52). Rover Curosity: foto de Mastcam del interior, el suelo y el refugio de un compartimento expuesto después de 51 días/soles marcianos. Abajo (Sol 1089). Posible contaminación por hongos o biocorrosión del interior, las paredes y el piso de un compartimiento expuesto en el escritorio de la cámara química después de 1089 días/soles. Otra posibilidad: ¿Sal que llegó a adherirse solo al interior de la superficie quizás secundaria a la humedad? O quizás los hongos hayan sido transportados a Marte ya adheridos al rover (Joseph et al. 2019).

Figura 39. (Izquierda/Sol 1089) Contaminación del compartimiento abierto del rover con (Derecha Sol 1162) masa amorfa blanca. Si se trata de un hongo, entonces es posible que el rover se haya contaminado cuando se fotografió este espécimen 27 días/soles antes.

Figura 40. Fotografiada por el rover Curiosity. Fila superior: la flecha Sol 840 indica formaciones grises con radios con hoyuelos de tamaño mm. Quince días después (Sol 855) aparece una formación de color blanco. Fila inferior: Espécimen de forma cuadrada cerca de las sombras con “paredes laterales” verticales y centro cuadrado cóncavo (Sol 869). Cinco horas más tarde (Sol 969), en respuesta a la luz solar plena, se vuelve de forma ovalada y las "paredes laterales" son laterales.
Hipótesis y análisis estadístico: ¿son los aumentos de tamaño y el diámetro evidencias de vida
En este informe, ahora brindamos evidencia adicional del aumento, la disminución y la multiplicación de especímenes amorfos, algunos de los cuales parecen moverse a diferentes lugares; así como lo que pueden ser redes de micelio, plasmodio, esporangios bulbosos de fructificación que se han vuelto rígidos, incrustados, calcificados o fosilizados. Además, estas redes son adyacentes a especímenes en forma de rosquilla con hoyuelos que se asemejan al género de líquenes Ochrolechia, "hongos milkcap" y algunas especies de Russula. El rápido aumento y disminución de tamaño parece ser un atributo común de una amplia variedad de especímenes marcianos.
Se han fotografiado muestras esféricas amorfas y similares a hongos en aumento y disminución en las regiones ecuatoriales a nivel del suelo (Figuras 6, 17-22). Los enormes araneiformes negros y en crecimiento han sido fotografiados desde la órbita, en las regiones árticas (Figuras 1-6, 45-51). Sin embargo, hasta este informe, no ha habido intentos de analizar y cuantificar estadísticamente lo que parece ser un crecimiento. El propósito de este estudio, por lo tanto, fue realizar un análisis estadístico y comparar cuantitativamente imágenes secuenciales para determinar si están creciendo especímenes (A) que se asemejan a "bolas de lobo" fúngicas. Si son biológicos, se puede predecir que a medida que aumentan en diámetro y tamaño, deberían acercarse más y la distancia entre ellos debería disminuir. Por el contrario, si se debe al viento, no deberían aumentar de diámetro y la distancia entre ellos no debería disminuir sino permanecer igual o aumentar y disminuir aleatoriamente a medida que son movidos por el viento. Del mismo modo, si los araneiformes (B) muestran evidencia estadísticamente significativa de expansión paralela a lo largo del tiempo, eso podría ser indicativo de vida.
Experimento 1
Método
Imágenes: Se analizaron dos imágenes de Marte, a saber. Oportunidad Sol 1145 y Sol 1148 (Figuras 8, 41). Varias esferas son visibles y las claramente presentes en las dos imágenes han sido etiquetadas de la A a la I.
Teoría: El problema al hacer comparaciones cuantitativas entre soles es que puede haber variaciones en el posicionamiento exacto de la cámara en las diferentes ocasiones. Por lo tanto, se ideó un método para determinar el crecimiento/expansión basado en medidas relativas de proporciones y se basa en la premisa de que si ha ocurrido un crecimiento, la distancia entre los bordes adyacentes (E) de dos hongos se reduciría mientras que la distancia entre sus centros (C) permanecería más o menos constante. En consecuencia, la relación entre las distancias al centro (C-C) y las distancias al borde (E-E) aumentaría en el sol 1148 si se ha producido una expansión/crecimiento en el período intermedio.
Análisis de imágenes: Las imágenes se analizaron con el software 'Image J' desarrollado por el Instituto Nacional de Salud (NIH), Bethesda, EEUU (Armstrong y Bradwell 2010, Rizzo et al 2021). Cada imagen se abrió usando el software y se amplió para revelar claramente las estructuras de interés. Las imágenes se manipularon usando brillo, contraste, nitidez y si era necesario, detección de bordes, para optimizar la apariencia de los hongos. Se usó el siguiente protocolo para estimar si ocurrió crecimiento/expansión de los hongos entre Soles (Figuras 8, 41-44): (1) se ajustó un círculo de mejor ajuste a cada uno de los perfiles A a I, (2) el centro de cada círculo se determinó dibujando tres 'cuerdas' en diferentes lugares de cada círculo, los puntos de intersección de las líneas dibujadas en el punto medio de cada cuerda y normales a ella definen el centro, (3) para cada par de líneas adyacentes hongos, se midió la distancia entre sus centros (C-C) y bordes (E-E), (4) para cada par de hongos adyacentes, se calculó la relación C-C/E-E. Se analizaron nueve pares de hongos visibles en las Figuras 8, 41. El cambio promedio en la relación C-C/E-E en los soles 1145 y 1148 también se comparó mediante una prueba 't' de muestra pareada. Luego se realizó un análisis de conglomerados aplicado (el método de grupos emparejados, usando el índice euclidiano de similitud) usando el paquete estadístico PAST (Hammer et al., 2001) para distinguir y determinar las proporciones cambiantes entre los grupos existentes dentro de los datos derivados (grupo 1: E-F y F-G; grupo 2: E-G, A-B, A-I y B-C; grupo 3: B-I, A-C y D-E). Como medida desde los puntos centrales, se confirmó un cambio estadísticamente significativo en las proporciones y distancias entre los bejines; es decir, todas las agrupaciones se hicieron más cercanas entre sí debido a la expansión del diámetro del espécimen.
Resultados y disertación: ¿Crecimiento de hongos marcianos?
El examen de las Figuras 41 revela 9 estructuras tipo hongo polvera en el sol 1145 (A a I). Las mismas estructuras son visibles en el sol 1148 junto con 13 estructuras nuevas. En la Tabla 1 y las Figuras 41-44 se muestra una comparación de las proporciones C-C/E-E para 9 parejas de hongos. La relación C-C/E-E aumentó de Sol 1145 a Sol 1148 para cada una de las 9 comparaciones de pares de esferas, observándose el mayor cambio de relación para la comparación de distancias entre las esferas E,F y la menor entre las esferas B,I. Una prueba 't' de muestra pareada dio un valor de 't' = 3.28 (8DF, P = 0.011) que indica un aumento significativo en la relación C-C/E-E de sol 1145 a 1148; la probabilidad de un efecto de azar es de aproximadamente 1 en 100.
En Sol 1148, los bejines existentes aumentaron de tamaño y están más juntos, lo que indica crecimiento y expansión, como lo confirman los análisis estadísticos y de conglomerados. En resumen, cuanto mayor sea la diferencia en las proporciones entre sol 1145 y 1148 en la tabla 1, indica que los especímenes crecieron más juntos. EF y AI más y DE y BI menos. El análisis de conglomerados enfatiza que los pares de esferas se comportan de manera diferente con tres grupos de respuestas: (1) EF y FG se acercaron significativamente y fueron los más cercanos en sol 1145 (2). EG, AB, AI, BC se acercaron significativamente pero se separaron más en el sol 1145. (3) BI, AC, DE que crecen menos. Estas impresiones se confirman aún más mediante un examen de las Figuras 41-44.
Es importante destacar que el método estadístico se basa en medidas relativas y no hace suposiciones sobre el posicionamiento de la cámara. En segundo lugar, no hay evidencia de efectos de viento significativos en el sitio entre los soles 1145 y 1148 (Joseph et al. 2020b). En tercer lugar, hay características distintivas en los bordes de las esferas (por ejemplo, A y G) que aparecen en el perímetro de la estructura en ambos Soles, por lo tanto, se han movido lateralmente. En cuarto lugar, estos especímenes parecen frágiles (véanse las Figuras 32 y 33) y se aplastan con facilidad. Cuando se desplegó el RAT en el sol 1168, todas las muestras esféricas se trituraron dejando solo unos restos blancos esponjosos y crujientes. Por lo tanto, es muy probable que los datos realmente indiquen grados significativos de 'crecimiento' lateral de estos especímenes esféricos entre sol 1145 y 1148.

Figura 41. Comparación de Sol 145 (Izquierda) y Sol 148 (Derecha). Los especímenes en la parte superior (A,b,C,I) no se han movido entre sí medidos desde el centro de los especímenes. En cambio, se han expandido en tamaño y se han vuelto significativamente más cercanos entre sí. Los especímenes en la parte inferior (D, E, F, G) han aumentado de tamaño, se han expandido más juntos, pero también se han movido entre sí, con el espécimen G que muestra el mayor grado de cambio de posición y movimiento que puede explicar el agujero creciente ( ver especímenes abajo a la derecha).

Figura 42. Comparación de Sol 145 (Izquierda) y Sol 148 (Derecha). Medido desde sus límites exteriores (superior) y centro (inferior), ABCI se ha acercado más entre sí, y DEFG se ha movido en relación entre sí, medido desde sus centros; con D y G mostrando los cambios de posición más obvios.

Figura 43. Método para medir el posible crecimiento/expansión de bejines fúngicos desde el sol 1145 hasta el sol 1148 (A, B 'hongos adyacentes, E-E = distancia de borde a borde, C-C = distancia de centro a centro. Las cuerdas dibujadas en A se usan para establecer el centro del círculo.

Figura 44. Clon de Sol 148 (al 50% de opacidad) colocado encima de Sol 148, utilizando el centro de la esfera en la parte superior central derecha como punto de anclaje. Patrones de crecimiento y expansión. Los especímenes en la parte superior se expandieron hacia arriba y hacia la derecha. El centro de la mayor parte del espécimen se expandió hacia arriba, hacia la derecha y hacia la izquierda. Los especímenes en la parte inferior se expandieron hacia arriba y predominantemente hacia la izquierda. La esfera en la parte inferior izquierda muestra el mayor grado de cambio de posición (moviéndose hacia arriba a la izquierda).

Tabla 1. Análisis cuantitativo de los "hongos marcianos" (hongos polvera) representados en las Figuras 6, 38, en los soles 1145, 1148. Las distancias se miden en unidades arbitrarias.

Tabla 2: Análisis de conglomerados: Clasificación de los cambios en la distancia euclidiana. Distintos grupos se expandieron y se volvieron significativamente más cercanos entre sí.
EXPERIMENTO 2
Varias características marcianas fotografiadas por un satélite orbital muestran expansión o crecimiento en fotografías secuenciales. Un ejemplo notable son las "rayas negras" que parecen extenderse gradualmente por la cara de una duna (Figuras 5, 47). El objetivo de este análisis fue comparar la morfología de las 'rayas negras' (Figura 5) en tres ocasiones (días 1, 22 y 35) para determinar si hay alguna evidencia de crecimiento/expansión significativa y por lo tanto, si estas características podrían ser evidencia de vida.
Método
Imágenes: Se analizaron tres imágenes tomadas en tres días desde Marte a través de un satélite orbital (Figura 5). Varios grupos de "rayas negras" son claramente visibles y parecen expandirse con el tiempo, aparentemente extendiéndose por la pendiente de una duna desde su cima.
Análisis de imágenes: Las imágenes se analizaron utilizando el software 'Image J' desarrollado por el Instituto Nacional de Salud (NIH), Bethesda, EEUU (Armstrong y Bradwell, 2010). Cada imagen se manipuló utilizando brillo, contraste, nitidez y si era necesario, detección de bordes, para optimizar la apariencia de las rayas. Las siguientes métricas se registraron a partir de las tres imágenes (Figura 5): (1) el número de rayas individuales resueltas por el análisis de imágenes (N), (2) la longitud de cada raya desde la cresta hacia abajo de la pendiente (Ls), (3) la longitud de la pendiente ascendente (Lds) desde el fondo hasta la cresta en la ubicación de cada raya, (4) la relación entre la longitud de la raya y la longitud de la pendiente (Ls/Lds), (5) el ancho de cada grupo de rayas en el punto medio de la raya más larga dentro del grupo (W), y (6) la relación entre la longitud media de las rayas por grupo y el ancho del grupo (L/W). La comparación de las métricas en las tres ocasiones se realizó mediante el análisis de varianza (ANOVA) seguido de la prueba post-hoc de diferencia significativa honesta (HSD) de Tukey.
Resultados y Discusión
Los datos se resumen en las Tablas 2 y 3. Primero, hay un pequeño aumento en el número de rayas presentes que son resueltas por el sistema de análisis de imágenes de 11 en el día 1 a 15 en el día 34. Segundo, no hay diferencias significativas en Lds entre las imágenes secuenciales (F = 0,86, P = 0,43), lo que indica que el satélite HiRISE tomó imágenes sucesivas aproximadamente a la misma altura. En tercer lugar, la media de Ls varió significativamente entre los días (F = 6,42, P = 0,004), con pruebas post-hoc que indican que la mayor parte del aumento en la longitud se produjo entre el día 1 y el día 22, por lo que hay un crecimiento inicial y significativo. . En cuarto lugar, la relación Ls/Lds también varió significativamente entre los días (F 6,28, P = 0,005), con el mayor aumento entre el día 1 y el día 22 con un pequeño cambio significativo entre el día 22 y el día 34, aunque es evidente que el ejemplares aumentados de longitud. Quinto, la relación L/W no varió significativamente entre días (P > 0.05), lo que indica que el largo y el ancho de las rayas aumentaron en proporción desde el día 1 hasta el día 22. En otras palabras, estos especímenes, aunque separados por distancias variables, y independientemente del terreno, todos crecieron al mismo ritmo, una característica de la biología, no de la geología.
Además de la aparición de algunas rayas nuevas en los días 22 y 34 que aumentaron el ancho de los grupos de rayas, los datos indican una extensión de las rayas hacia arriba y luego hacia abajo de la pendiente con el tiempo desde la cresta. La mayor parte de esta extensión parece ocurrir entre el día 1 y el día 22 sin cambios significativos del día 22 al día 34. Los datos estadísticos confirman e indican un grado significativo de "crecimiento" paralelo rápido entre Sol 1 y 22.

Tabla 3. Análisis cuantitativo de las rayas negras representadas en la Figura 5 en tres ocasiones por el experimento del satélite HRISE. Las distancias absolutas se miden en unidades arbitrarias. Abreviaturas: Lds = Distancia desde la cima hasta el pie de la pendiente. Ls = longitud de la racha. Lw = Relación entre la longitud media de la raya por racimo y el ancho del racimo.
DISCUSIÓN
Según el análisis estadístico de las muestras seleccionadas, existe evidencia significativa de un aumento en el diámetro y el "crecimiento" lateral de especímenes esféricos identificados como bejines fúngicos, entre los sol 1145 y 1148, de modo que a medida que aumentaban de tamaño también se acercaban entre sí. Del mismo modo, los especímenes árticos, aunque separados por distancias variables e independientemente del terreno, crecieron todos al mismo ritmo en paralelo y en dirección ascendente, una característica de la biología, no de la geología.
Casi tres docenas de investigadores, muchos con un historial de importantes logros científicos, han presentado previamente lo que creen que es evidencia de vida actual y pasada en Marte (Baucon et al. 2020; DiGregorio, 2018; Bianciardi et al. 2014; Dass, 2017 ; Joseph et al. 2020a,d-g; Kaźmierczak 2016, 2020; Levin & Straat, 1976, 1977, 2016; Levin et al. 1978; McKay et al. 2009; Noffke 2015; Rabb, 2018; Rizzo 2020; Rizzo & Cantasano 2016 ; Ruff & Farmer 2016; Small 2015; Thomas - Keprta et al. 2009). En este informe, proporcionamos evidencia de movimiento, reubicación, alteración de la forma, aumentos y reducciones de masa y hallazgos de crecimiento estadísticamente significativos. Como se documenta aquí, los especímenes marcianos emergen de debajo del suelo, aumentan de diámetro, en el Ártico, alcanzan cientos de metros de tamaño en la primavera y principios del verano solo para desaparecer en otoño e invierno; mientras que los que se encuentran en los abrigos rocosos ecuatoriales cambian de forma, se trasladan a diferentes lugares, o desaparecen casi por completo o aumentan en masa y número: “comportamiento” que es característico de la vida.
Hongos Polvera marcianos? El análisis estadístico respalda el crecimiento biológico
El enfoque de este análisis estadístico incluyó 9 especímenes con forma de bejín que fueron fotografiados en Sol 1145. Tres días después, doce especímenes adicionales de bejín emergieron de debajo del suelo, mientras que los 9 originales parecen haber aumentado de tamaño (Figuras 8, 38-40). Como se documenta en este informe, un análisis estadístico comparativo indica que los 11 especímenes originales aumentaron significativamente en diámetro, de modo que la distancia entre ellos disminuyó en paralelo debido a la expansión mutua. Joseph y sus colegas (2020a,b) descartaron la posibilidad de que el viento haya descubierto estos especímenes. Específicamente, según lo revisado por Joseph et al,. (2020b) se requieren velocidades del viento a nivel del suelo entre 40 y 70 m/h para mover el suelo de grano grueso en Marte, no se observaron, fotografiaron ni informaron vientos fuertes, nubes de polvo, remolinos de polvo u otras indicaciones de vientos fuertes durante esos tres días en esta vecindad de Marte. Por lo tanto, no hay evidencia de que estos especímenes esféricos hayan sido descubiertos o movidos por el viento. La fotografía de Sol 1148 tampoco muestra ninguna evidencia de que la superficie haya sido perturbada por el viento, ya que no hay lineamientos paralelos, ondulaciones, olas, crestas o acumulación de suelo en un lado de los especímenes como se esperaría de un viento direccional (Kidron y Zohar 2014; Kidron et al. 2017). La única evidencia de desplazamiento del suelo es el agujero parcial dentro y adyacente a uno de los 11 especímenes originales (Figuras 8, 41-44). El desplazamiento del suelo en forma de un agujero de media luna parcial es lo que se esperaría de los organismos que habitan en el suelo creciendo en tamaño, mientras que el viento llenaría esa media luna poco profunda (Kidron y Zohar 2014; Kidron et al. 2017). Además, todos los especímenes parecen estar en el mismo plano, nivelados entre sí, como si estuvieran emergiendo y creciendo sobre el suelo. Si los 12 especímenes adicionales se descubrieron debajo del suelo, ¿por qué no aparecen mucho más abajo, a un nivel más bajo que los 9 originales? Si debido a vientos extremadamente poderosos, ¿por qué algunos de los especímenes no fueron empujados más lejos o en nuevas ubicaciones? Si estos especímenes marcianos están vivos, entonces tuvieron que haber crecido a un ritmo fenomenal. Sin embargo, el rápido crecimiento parece ser la norma, como se documenta en este informe.
Araneiformes: evidencia estadísticamente significativa de crecimiento
Como ahora está bien documentado, aparecen araneiformes negros masivos en la superficie de los hemisferios norte superior e inferior sur de Marte y pueden crecer a una velocidad de 5 a 10 km por día y alcanzar varios cientos de metros de tamaño, longitud y/o diámetro. La aparición y el crecimiento de estas formaciones son paralelos al derretimiento de los casquetes polares que consisten en niveles variables de dióxido de carbono congelado y cantidades considerables de hielo de agua (Bierson et al. 2016; Foss et al. 2017; Phillips et al. 2001); Thomas et al. 2016). Después de aumentar en ancho, largo y diámetro, la mayoría de estas enormes formaciones negras desaparecen a fines del verano y el invierno (Hansen et al. 2010; Portyankina et al. 2020). La primavera siguiente y durante los años siguientes surgen patrones similares en los mismos lugares (Figuras 1-6, 45-51). Como se documenta en este informe, se encontró que los patrones de crecimiento eran estadísticamente significativos con especímenes adyacentes que crecen a la misma velocidad inicial rápida. Además, como se puede ver en las Figuras 4 y 6, estos especímenes árticos crecen cuesta arriba y se curvan unos hacia otros.
Basado simplemente en fotos y en ausencia de análogos terrestres o cualquier intento de determinar la identidad de estas formaciones, la NASA (2016) ha argumentado que estos "araneiformes" masivos "resultan de la descongelación del hielo estacional de dióxido de carbono". Sin embargo, el hielo de dióxido de carbono congelado no es negro sino blanco semitransparente; esto es obvio si se basa en un examen de datos orbitales y fotografías de las regiones árticas del sur y del norte de Marte. Además, cuando el CO2 se derrite, no se quedaría en el suelo sino que ascendería a la atmósfera. Específicamente, se ha planteado la hipótesis de que la liberación de CO2 inducida por la presión de fusión provoca la expulsión de arena negra y rocas (Pilorget 2011; Portyankina et al. 2020). Por lo tanto, a medida que las temperaturas más altas inducen la sublimación del dióxido de carbono, se convierte en gas que estalla hacia arriba o en múltiples direcciones, transportando polvo negro y otros desechos de color oscuro que se esparcen por la superficie que también se licua con el agua derretida. Kieffer et al. (2006) también han propuesto “que el casquete de hielo estacional forma una losa impermeable y translúcida de hielo de CO2 que se sublima desde la base, acumulando gas a alta presión debajo de la losa. Este gas hace levitar el hielo, que eventualmente se rompe, produciendo respiraderos de CO de alta velocidad que expulsan granos del tamaño de arena en chorros para formar las manchas”. Por lo tanto, debe haber un suministro interminable de arena negra y rocas que permanecen ocultas hasta que los glaciares que se derriten las rocían cada primavera. Si es cierto, entonces: (a) ¿de dónde vienen estas rocas negras y arena, (b) por qué desaparecen en otoño y (c) adónde van? y (d) ¿por qué estas rocas negras y arena no aparecen de forma simultánea e inmediata en lugar de expandirse exponencialmente en un patrón de crecimiento estadísticamente significativo? ¿Y por qué no se pueden ver estas rocas negras y arena debajo del hielo translúcido antes de que se derrita y nuevamente después de que se congele?

Figura 45. Foto orbital de HiRISE. Duna ártica con formaciones negras repetidas. Las formaciones en expansión sobre y dentro de las dunas de arena del Ártico marciano respaldan la hipótesis de que comienzan a crecer dentro del agua derretida en la parte superior de la duna y toman formas idénticas en expansión, mientras que se desarrollan masas espesas similares a telas de araña y apéndices similares a briznas de hierba dentro de las antesalas donde el agua también se desarrollaría. se espera que se agrupe.

Figura 46. Foto orbital de HiRISE. Dunas del Ártico, Marte. cubierto de formaciones negras. Observe el patrón repetitivo.

Figura 47. Foto orbital de HiRISE. Duna ártica, Marte. cubierto de formaciones negras. Tenga en cuenta los patrones que se repiten.

Figura 48. HiRISE. Dunas del Ártico, Marte. cubierto de formaciones negras. Los patrones de notas se repiten.

Figura 49. Marte: fotos orbitales. Pasando del negro durante el verano y luego al gris en el otoño/invierno. Fotografiado, vía satélite, desde la órbita (De Ganti, et al. 2003).
¿Agua derretida del Ártico marciano y crecimiento de organismos inactivos?
En el Ártico, formaciones similares asumen formas de expansión y patrones de crecimiento idénticos. Formaciones casi idénticas aparecen en cientos de dunas incluso a miles de metros de distancia (Figuras 45-51). Estos patrones repetitivos complejos son característicos de la biología.
Mohlmann y Akos (2010) han propuesto que el agua de deshielo viscosa y salobre se proyecta sobre la superficie creando rayas negras y otras formas. El agua salobre y el lodo alimentarían innumerables organismos biológicos (Joseph et al. 2020c) y podrían incluir "material orgánico, microbios o incluso plantas simples", como ha propuesto Ness (2001). Además, a medida que el agua del deshielo del Ártico inunda los alrededores hongos negros, moho, líquenes, algas y otros organismos latentes comenzarían a reproducirse y proliferar en respuesta a la disponibilidad de líquidos y temperaturas más cálidas (Ganti et al. 2003; Ness, 2001; Joseph et al. 2020c; Kereszturi et al. 2012) Horvath y colegas (Ganti et al. 2003; Kereszturi et al. 2012) han teorizado que los organismos fotosintetizadores yacen debajo, dentro o sobre la superficie del hielo ártico en un "estado inactivo y desecado" y han identificado algas/cianobacterias (Kereszturi et al. 2012) y "líquenes" (Ganti et al. 2003) como candidatos ideales—los líquenes son organismos compuestos de algas y hongos—todos los cuales han demostrado sobrevivir a la exposición directa al espacio y a condiciones similares a las de Marte (De Vera 2012, De Vera et al.2019; De la Torre Noetzel et al. 2017, 2020). De acuerdo con este escenario, estos organismos fotosintéticos despiertos podrían desarrollar una pigmentación negra en respuesta a la radiación y la luz solar, absorbiendo así energía y aumentando el calor localizado, al hacerlo forman patrones repetitivos en expansión y canales radiales que se hacen más grandes y más negros (Joseph et al. 2020c).
Muchas especies terrestres de bacterias y hongos, como las "levaduras negras" (Sterflinger 2006), los hongos liquenizados (Armstrong 2013) y los hongos negros (Zakharova et al. 2014) desarrollan pigmentos oscuros o negros después de salir de la latencia. Las algas/cianobacterias, los hongos negros y los hongos liquenizados que habitan en ambientes extremadamente frígidos a menudo tienen una pigmentación oscura que les permite absorber el calor y a través del albedo, derriten la nieve más rápidamente, aumentando así el suministro de agua (Nordhagen 1928). Muchas especies de líquenes, incluidos los miembros del género Peltigera, son de color oscuro y se vuelven casi negros cuando se mojan y se vuelven grises cuando se secan.
Si es biológico y orgánico, esto explicaría por qué estas características de la superficie cambian con el tiempo en respuesta al calentamiento, la disponibilidad de agua de deshielo y se desvanecen en respuesta a las temperaturas más frías. Posiblemente, los hongos árticos, el moho y las inmensas colonias de organismos superficiales inactivos, cuando se exponen al agua derretida, se pigmentan al absorber la luz solar, florecen y se reproducen rápidamente, y luego vuelven a permanecer inactivos cuando el agua se evapora y se congela en otoño e invierno (Joseph et al. 2020c). Esto explicaría por qué patrones básicamente idénticos se repiten durante años (Figura 50). Luego está la contribución de los géiseres y los volcanes de lodo que pueden arrojar una sopa orgánica infestada de bacterias a la superficie y proporcionar nutrientes. Cuando las aguas se evaporan y se congelan, estas colonias forman esporas, se vuelven inactivas, migran bajo la superficie o mueren y la coloración oscura desaparece; luego el patrón se repite la primavera siguiente.

Figura 50. Fotografías orbitales HiRise de una formación masiva "en forma de araña" con afluentes, que repiten la misma secuencia durante un período de 5 años: 5/8/2009 - 25/5/2015

Figura 51. Fotografía orbital de Marte. ¿Géiseres marcianos?
La astrobiología de los géiseres y volcanes de lodo marcianos
Los investigadores también han propuesto que estas formaciones negras de crecimiento masivo son producidas por lodo y agua sucia expulsados de volcanes de lodo y géiseres (revisado por Joseph et al. 2020c). Se han observado en Marte casi 20 000 montículos con cráteres circulares que se cree que son similares a los "volcanes de lodo" de la Tierra (Kumar et al. 2019; Pondrelli et al. 2011; Skinner & Adriano 2009).
Estos "volcanes de lodo" (MV) marcianos comúnmente toman la forma de cúpulas, conos, pozos y montículos elípticos y circulares y se pueden encontrar en grupos y cadenas en forma de cinturón (por ejemplo, Dapremont y Wray 2020; Komatsu et al., 2016 ) con numerosos pozos que pueden estar interconectados por "tuberías" subterráneas (Kumar, et al. 2019). Los MV marcianos, por lo tanto, parecen ser alimentados por ríos subterráneos, lagos y depósitos de agua que están interconectados o adyacentes entre sí (Remizovschi et al. 2018; Pozzobon et al. 2019). Esto explicaría por qué numerosos araneiformes arácnidos y lo que parecen ser géiseres negros y MV aparecen adyacentes entre sí. Esta sopa orgánica acuosa subterránea, una vez suficientemente presurizada o calentada (a temperaturas tan bajas como 2 °C (36 °F), se precipitará hacia arriba, perforará y se derramará sobre la superficie (Skinner & Adriano 2009; Remizovschi et al. 2018).
Al igual que los volcanes de lodo de la Tierra, no es probable que los MV marcianos hagan erupción de lava caliente, sino de lodo acuoso, metano, CO2, nitrógeno, azufre y otros gases y desechos; una mezcla que podría proporcionar alimento a innumerables organismos (revisado por Joseph et al. 2020c). Además, Parnell y sus colegas (2018) han sugerido que los sedimentos húmedos podrían proporcionar hábitats potenciales para los organismos reductores de sulfato del subsuelo, mientras que la detección de jarosita respalda la posibilidad de interacciones agua-atmósfera-biológica; es decir, oxidación microbiana de sulfuro (Norlund et al. 2010). En la Tierra, las MV están habitadas por arqueas metanotróficas anaeróbicas, bacterias reductoras de sulfato, algas y cianobacterias (Ali et al. 2007; Wrede et al. 2012; Niemann et al. 2006; Remizovschi et al. 2018; Alain et al. 2006) todas de los cuales dan a la mezcla erupcionada un color negruzco.
Se desconoce si los "volcanes de lodo" y los géiseres marcianos son lo mismo. Sin embargo, también se cree que los géiseres sucios de agua fría contribuyen a estas formaciones árticas masivas marcianas (revisado por Joseph et al 2020c). Los géiseres de agua fría son alimentados por depósitos subterráneos de CO2 atrapado, obtenido geofísicamente de la roca y la descarbonatación de carbonatos a profundidades muy por debajo de la superficie. El CO2 subterráneo también se produce a través de la descomposición orgánica y los organismos aeróbicos que liberan CO2 como producto de desecho (Canfield 2014). A medida que se acumula el CO2, aumenta la presión y el géiser expulsa agua, materia orgánica y una variedad de organismos.
Los géiseres terrestres están llenos de vida e incluyen reductores de azufre, metanógenos y más de 100 filos microbianos diferentes que representan diversas bacterias y arqueas (Anantharaman et al. 2016; Probst et al. 2018). Si los géiseres de Marte son como los de la Tierra y están poblados por una amplia gama de microorganismos, entonces, al entrar en erupción, rociarían la superficie con una variedad de organismos y proporcionarían agua a los que ya estaban en la superficie que, al pigmentarse, convertirían en negro la superficie.
Radiación: Mohos, Líquenes, Hongos, Metanógenos, Bacterias Reductoras de Azufre
En este y en un informe anterior (Joseph et al. 2020c) formulamos hipótesis y presentamos pruebas de lo que pueden ser hongos, moho, algas, líquenes (un organismo compuesto de algas fúngicas), metanógenos y organismos reductores de azufre del Ártico; todo lo cual puede ser el principal responsable de la creación de estas gigantescas formaciones negras en Marte. Hemos teorizado que los metanógenos y las especies reductoras de azufre pueden ser expulsados a la superficie por géiseres y volcanes de lodo, hemos planteado la posibilidad de que todos estos organismos árticos putativos puedan formar esporas, migrar debajo de la superficie o quedar inactivos o morir cuando el agua se evapora y se congela.
También hemos argumentado que los organismos del subsuelo podrían morir después de una exposición prolongada a la radiación gamma y ultravioleta. Por el contrario, se puede predecir que los organismos que habitan en la superficie se habrían adaptado al entorno de intensa radiación de Marte, que se ha estimado en "0,67 milisieverts por día" a nivel del suelo (Hassler et al. 2013). Esto está significativa y profundamente por debajo de los niveles de tolerancia a la radiación de una variedad de procariotas (Moseley & Mattingly 1971; Ito et al. 1983) y 4 eucariotas simples, incluidos hongos y mohos mucilaginosos que pueden soportar dosis de radiación de hasta 1,7 × 10 Gy (Deering et al. 1972; Saleh et al. 1988; Terzi, 1961, 1965).
Mohos, hongos, algas y líquenes ((Horneck et al. 2002; McLean & McLean 2010; Nicholson et al. 2000; Novikova et al. 2016; Onofri et al. 2012, 2018; Sato et al. 2011; Tugay et al. 2006; Sancho et al.2007; Raggio et al. 2011; Takahashi, et al. 1972), también sobreviven a la exposición directa a la intensa radiación del ambiente frígido del espacio sin efectos negativos observables sobre la viabilidad o la producción de esporas. Estas diversas especies terrestres son bien adaptados para sobrevivir en Marte. Del mismo modo, se puede predecir que aquellas especies que evolucionaron y se adaptaron al duro entorno marciano tendrían pocas dificultades para sobrevivir.
Mohos, hongos, líquenes, algas y otras especies desarrollan características de adaptación cuando se exponen a altos niveles de radiación (Hashimoto & Yanagisawa 1970; Mulleavy & Evans 1982; Rakoczy 1998; Terzi, 1961, 1965; Tugay et al. 2006; Zhdanova et al. 1991, 2004) --una propiedad descrita como "radiación hormesis", "radioestimulación" y "adiotropismo" (Adet 1993; Alshits et al 1981; Levin 2003; Zhuravskaya et al 1995). Estas adaptaciones incluyen una rápida regeneración y crecimiento tisular y celular (Basset 1993; Becker 1984; Becker & Sparado 1972; Occhipinti et al. 2014; Levin 2003; Maffei 2014; Moment, 1949) y una mayor producción de rastros (Hashimoto & Yanagisawa 1970; Rakoczy 1998; Tugay et al. 2006; Zhdanova et al. 1991, 2004).
Se pronostica que los supuestos organismos marcianos, si se les proporcionara humedad, crecerían rápidamente en respuesta al entorno marciano intenso en radiación, en este informe se ha proporcionado evidencia que respalda esa hipótesis. Además, los líquenes, hongos, algas y numerosas especies de microbios prosperan en entornos altamente radiactivos y se sienten atraídos por ellos (Becket et al. 2008; Dadachova et al. 2007; Mulleavy & Evans1982; Tugay et al. 2006; Wember & Zhdanova 2001). Los hongos (Wember & Zhdanova 2001; Zhdanova et al. 2004) buscarán y crecerán hacia fuentes de radiación que sirven como fuente de energía para el metabolismo (Dighton et al. 2008; Tugay et al. 2006). De hecho, los hongos se fortalecen, florecen y crecen rápidamente dentro de la Estación Espacial Internacional como consecuencia de los niveles elevados de radiación (Novikova et al. 2016; Novikova 2009; Vesper et al. (2008). El moho y los hongos también prosperan en la afueras y a lo largo de las paredes de la planta de energía nuclear de Chernobyl dañada y altamente radiactiva (Dighton et al. 2008; Zhdanova et al. 2004). Incluso si su ADN está dañado por la radiación, pueden reparar fácilmente estos genes debido a una redundancia de genes con funciones de reparación (White et al. 1999) Los altos niveles de radiación en Marte, por lo tanto, pueden proporcionar un entorno ideal para los hongos.
CONCLUSIONES
Está bien establecido que una variedad de organismos terrestres sobreviven en condiciones similares a las de Marte. Dada la probabilidad de que la Tierra haya estado sembrando Marte con vida y la vida se haya transferido repetidamente entre mundos (Beech et al. 2018; Joseph et al. 2019; 2020c; Schulze-Makuch et al. 2005), sería sorprendente que no hubiera Vida en Marte. Sin embargo, a diferencia de los organismos terrestres, los hongos, líquenes, mohos, algas y otras supuestas formas de vida marcianas habrían evolucionado y ya estarían adaptados a las bajas temperaturas, la disponibilidad intermitente de agua, las bajas cantidades de oxígeno libre y los altos niveles. de radiación que caracterizan el duro entorno marciano. Casi todos los científicos que han buscado vida actual o pasada en Marte han reportado hallazgos positivos. Lo que sería sorprendente es que no hubiera vida en Marte.
Los hallazgos positivos incluyen informes de actividad biológica y especímenes que se asemejan mucho a estromatolitos domales fosilizados, esteras bacterianas, algas, gusanos tubulares y metazoos; residuos bacterianos en meteoritos marcianos; y una multitud de lo que pueden ser hongos vivos, algas, líquenes, moho. Ahora hemos presentado fotografías secuenciales de especímenes que emergen del suelo, crecen, cambian de forma, se multiplican o se trasladan a diferentes lugares y desaparecen; formas de rosquillas que se asemejan al género de líquenes Ochrolechia y "hongos milkcap" y Russulas en forma de "rosquilla"; redes de especímenes blancos que se asemejan a plasmodium, esporangios fructíferos bulbosos y grupos y esféricos interconectados, todos los cuales pueden haberse vuelto rígidos, incrustados, calcificados al exponerse a la superficie; así como especímenes que se asemejan a bejines con tallos o que desprenden lo que parece ser una costra y que están rodeados por un polvo blanco-grueso-material similar a esporas de leprosa que también consiste en lo que parece ser embrionario con múltiples túbulos abiertos y tallo similar a un hongo formaciones; y evidencia estadística de que los especímenes en el Ártico están creciendo en paralelo, y que los especímenes esféricos ecuatoriales que se asemejan a bejines fúngicos crecen del suelo, se expanden en tamaño y diámetro, y se acercan entre sí.
Las similitudes en la morfología no son prueba de vida. Es posible que todos los especímenes presentados aquí sean abióticos. No podemos descartar por completo los minerales, la meteorización y las fuerzas geológicas desconocidas que sean exclusivas de Marte y desconocidas y ajenas a la Tierra. Sin embargo, el crecimiento, el movimiento, las alteraciones en la ubicación y la forma constituyen el comportamiento y junto con la morfología similar a la vida, respaldan firmemente la hipótesis de que si hay vida en Marte.
English
Español